分離症 症状と予防法

ブログ

 

2月に入り寒さも本格的になってきた今日この頃、皆様いかがお過ごしでしょうか?

寒さが強まってくると筋肉が硬直したり神経の流れが悪くなり痛みやしびれなどを誘発させてしまうので、お風呂(温泉)やカイロなどで体を温めるとよいですよ。

 

 

 

 

さて今月のテーマは『分離症』です。

皆さんは分離症という名前を聞いたことはありますか?

 

激しい運動や連続したジャンプなどを繰り返し行うことによる疲労によって腰などの脊椎に負荷がかかり文字通り分離してしまう症状の事です。

痛みとしては、おしり辺りの長期間の腰痛、特に後ろに反らせたり腰を捻ったりすると強い痛みやしびれなどを誘発します。

この症状は、主に10歳代の若い子供が激しいスポーツなどをしている人が多く発症します。

ちなみにそのまま放っておいてしまうと、分離した脊椎がずれてしまい【分離・すべり症】というもっと厄介な病気になってしまいますので気になる場合は整形外科などに行ってみるとよいでしょう

 

 

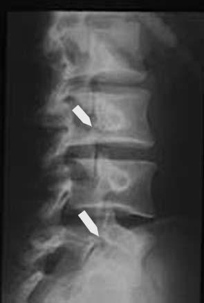
診断

基本的には整形外科でレントゲン撮影して判別します

他には、この症状では、脊柱管狭窄症のように背骨の中の脊髄の通る穴自体が狭くなることはないので、神経根ブロック等を使って判別することもあります。

予防・対策

基本的には普通の腰痛と同じで、

・無理な姿勢を取らない。

・腰回りを冷やさない

・腹筋や臀部の筋肉を鍛える

等が挙げられます。

後はサッカーやバスケットボールなどスポーツをしている子は、痛みが強い場合は少しお休みさせて様子を見てみるのもいいかもしれません。

もし痛みが取れない場合は、手術をする場合もあります。

 

 

 

 

 

 

まとめ

分離症は特別な病気ではなく、サッカーなどスポーツが好きな子供たちであればだれにでも起こりうる、身近な病気です。そして放っておいてしまうともっと大変な症状になってしまいますので、当治療院にせひ来て頂き、筋肉をほぐしたり、ストレッチなどをして痛みが出づらい、丈夫な体作りを一緒に作っていきましょう。

▲ページの先頭へ戻る

げんきや接骨院武蔵村山のご案内

【住所】〒208-0004 東京都武蔵村山市本町2-5-4 光ビル1階
【電話】TEL:042-520-6651

げんきや接骨院武蔵村山景観
受付時間 土・祝
9:30 ~ 12:00
14:30 ~ 20:00 14:00 ~ 18:00

日曜休診

当院の場所

武蔵村山市民会館から徒歩8分

詳しい案内は「所在地・地図」で
ご覧になれます。

駐車場あり。

▲ページの先頭へ戻る